Correctly diagnosing dental problems including decay or periodontal disease
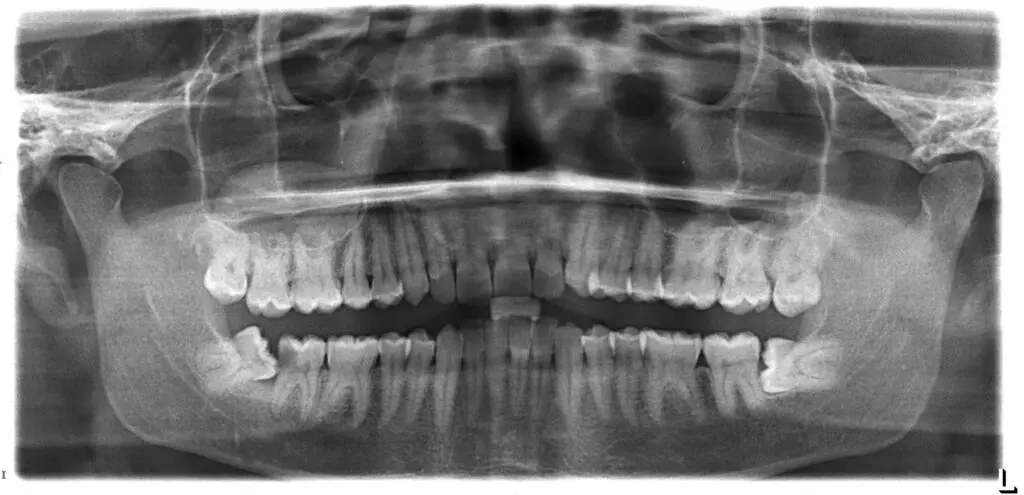
Quite often, decay develops in areas of the mouth that may not be clinically visible. This includes areas between the teeth or under existing restorations. X-Rays are able to detect such problems before it progresses to an advanced stage. Problems such as cavities, cysts, abscesses, and the progress of dental development of young children can be assessed. Dental X-rays can reveal:
Conventional X-Rays use a film similar to photographic film which once exposed to the X-Ray beam will be developed as a black and white image through a series of chemical solutions. In contrast, instead of processing the film, a computer system sends signals to a computer which is then translated into electronic pictures of your teeth. You can then view the radiographs on a computer monitor to see your teeth, bones and gums. At our practice we have been using the digital X-Ray system for number of years. Even though this system is more expensive than conventional X-Rays, it offers a superior level of dental examination, and for our patients’ benefit, we have kept the price of digital X-Rays the same as their conventional counterparts.
Yes. The amount of radiation received from a dental X-Ray is extremely small in comparison to other naturally occurring sources of radiation, including radiation from sunlight, microwave ovens, and other electronic devices we use. However by using the right equipment with the correct safeguards, we limit the dosage of radiation to the lowest amount possible. Radiation exposure has been significantly reduced in the process of establishing an X-Ray image, accounting for 90% less exposure than conventional X-Rays.
If your child is very young, we will first complete a visual examination and advise you if any decay is detected. This can be done since the primary teeth often do not touch, which means our dentist can see and feel the surfaces of your child’s tooth. If decay is visually detected we will then take digital X-Rays to determine the extent of the decay to prescribe the correct treatment plan for your child.

X-Ray image is obtained instantaneously rather than waiting for 3-5 minutes for the developing process.
It means that the need to use nasty chemicals to develop the film are eliminated. This increases the safety for our patients and staff (No fumes are produced in the surgery environment) as well as eliminating the need to dispose chemicals into our environment.
Produces a superior X-Ray image quality for better diagnosis.
Our photo galleries at Family Dental Clinic – West End all contain genuine patients that have undergone one or more than one of general dentistry, cosmetic dentistry or restorative dentistry treatments. Every image of before or after photos are true and correct, all having been performed in the West End practice located in Brisbane.
Dedicated to creating beautiful healthy smiles using the latest dental technology with precision and care
Kosta was very good, explaining exactly what my options were and ensuring my comfort all through the procedure. He gave me an aftercare sheet detailin… Read More
I received absolutely fantastic care from Dr. Georgio and his assistance today. Also was greeted by a very kind reception team. Thanks for the great work team, I look forward to coming back!
Dr Kosta did great work on both my crowns and there was very little discomfort after the second one. Very happy with the service as well from the rece… Read More
I had a great experience at this clinic. The care was highly professional, thorough, and compassionate. It is very convenient to have everything i.e. … Read More
Dr George was very gentle and respectful to me. An absolute delight. He was also very thorough and efficient. He has become my dentist for the rest o… Read More